Tuberculosis (TB) is an infection that primarily affects the lungs, and is caused by mycobacterium tuberculosis, a rod-shaped, intracellular obligate aerobe.

Pathophysiology


  1. Inhaled aerosolised droplets from another individual containing M tuberculosis enter the pulmonary alveoli and are phagocytosed by alveolar macrophages.
     
  2. Within the alveolar macrophage, the bacteria are located within phagosomes. M tuberculosis is able to inhibit the fusion of the phagosome and lysosome, meaning the macrophage is unable to destroy the bacteria, which subsequently proliferate.   
     
  3. Infected macrophages within the alveoli recruit other immune cells, in particular T lymphocytes. Both the macrophages and T cell activation lead to the formation of characteristic TB granulomas. At the centre of this granuloma, the tuberculosis-infected macrophages die leading to a necrotic centre, which usually looks like white cheese on gross examination, thus earning the name caseous necrosis.
     
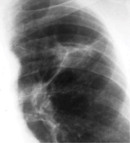
  4. The primary lesion is known as the Ghon focus. Draining lymph nodes can also become infected. The initial Ghon focus and newly infected lymph nodes are known as the Ghon complex.
     
  5. The infection can stop here and remain contained for years within the granuloma. This is known as latent tuberculosis. Individuals are not infectious in this time and are also asymptomatic. Over time, the granulomas can heal, and will undergo calcification and fibrosis, thus appearing on a chest X-ray. This calcified Ghon complex is known as a Ranke complex.
     
  6. If the host immune system is unable to control the infection, individuals develop primary progressive disease, which is usually confined to the lungs but can spread outside the lungs leading to extra-pulmonary symptoms.
     
  7. Latent TB can also later reactivate, causing reactivated TB. This usually occurs if the host becomes immunosuppressed, leading to the bacteria which have remained dormant for years mounting an infection again, for example, through immunosuppressive drugs or acquiring a HIV infection. Reactivated TB most commonly affects the upper lobes of the lungs, as this region has the highest oxygenation.
     
  8. These bacteria can also spread through the blood stream or lymphatic system to other organs, including the spleen and liver. This widespread infection is known as miliary TB.
     

Basem Abbas Al Ubaidi, CC BY 4.0 , via Wikimedia Commons

Ghon Complex on Chest X-ray

Fate of a Tuberculosis Infection Summarised


  1. Immediate clearance by the immune system.
  2. Active Disease: This is where the patient is infectious and symptomatic. Active disease is either:
    • Primary Progressive: The first infection of TB was never cleared
    • Secondary/Reactivated: Pre-existing TB is reactivated, leading to onset
    • Miliary TB: Widespread haematogenous dissemination of the infection leading to widespread nodules in the lungs visible on chest X-ray and extra-pulmonary involvement
  3. Latent disease: Immune system cannot eradicate infection, but is able to contain it meaning patients are asymptomatic and non-infectious.

Risk Factors for Active Tuberculosis


  • HIV Positive
  • Solid organ transplant
  • Chemotherapy
  • Diabetes
  • Chronic Kidney Disease
  • Gastrectomy
  • Silicosis
  • Haematological Malignancy
  • Alcohol Abuse
  • IV Drug Use

Clinical Features


In a latent infection, patients are not contagious and are asymptomatic. However, when active infection is present the following signs and symptoms can occur:

General Signs and Symptoms

  • Fever
  • Night sweats
  • Anorexia (appetite loss)
  • Weight loss
  • Fatigue
  • Nail clubbing

Pulmonary Symptoms (Active Disease)

  • Productive cough
  • Haemoptysis

Extrapulmonary Symptoms

  • Pleuritic chest pain due to involvement of pleura
  • Involvement of meninges: Tuberculous meningitis
  • Clubbing

Investigations


Bedside

  • 3 deep cough sputum samples which have been spontaneously produced, with one ideally being an early morning sample. Using the sputum, perform:
    • Sputum acid-fast bacilli (AFB) smear. This is most commonly with the Ziehl-Neelsen stain, which turns positive samples pink.
    • Culture sputum
    • If there is no sputum, sputum can be induced, or a bronchoscopy and lavage can be done

Bloods

  • Full blood count, urine & electrolytes, liver function test: For baseline as tuberculosis therapy can cause hepatotoxicity, agranulocytosis and nephrotoxicity.
  • HIV, Hepatitis B and Hepatitis C Tests

Imaging

  • Chest X-ray: Will usually see nodular or fibrous opacities in the upper lobes +/- cavitating granulomas.

Special Tests

  • Mantoux Test: This is the main test used for diagnosing latent TB
    • Purified Protein Derivative (PPD), tuberculin, is injected into the skin. Patients who have been exposed to TB will produce an immune reaction against this, which will be visible on the skin.
    • An induration of 6mm or more is a positive Mantoux test
  • Interferon Gamma Release Assay (IGRA): This is a blood test, again used for diagnosing latent TB
  • Rapid Diagnostic Nucleic Acid Amplification Test: Used in various circumstances, including if the patient is HIV positive

https://upload.wikimedia.org/wikipedia/commons/9/9d/Mantoux_test.jpg

Mantoux test Skin Result

Management


TB requires long-term treatment with a combination of antibiotics. The standard treatment regimen for active TB is 6 months of antibiotics. There are four drugs which can be remembered using the mnemonic RIPE: Rifampicin, Isoniazid (with Pyridoxine), Pyrazinamide and Ethambutol.

Of the 6 months:

  • Rifampicin, Isoniazid (with Pyridoxine), Pyrazinamide and Ethambutol for 2 months
  • Only Rifampicin and Isoniazid (with Pyridoxine) for remaining 4 months. If the patient has active Tb with central nervous system involvement, this is extended to 10 months.

Latent TB is managed differently, with either

  • 3 months Isoniazid (with Pyridoxine) and Rifampicin or
  • 6 months Isoniazid (with Pyridoxine)

Side Effects


Rifampicin
  • Red-orange discolouration of body fluids (urine, sweat, tears)
  • Liver toxicity
Isoniazid
  • Peripheral neuropathy
  • Hepatitis
Pyrazinamide
  • Gout
  • Agranulocytosis
Ethambutol
  • Optic Neuritis
  • Nephrotoxicity
  • Leucopenia

References


https://emedicine.medscape.com/article/221777-overview#a2

https://www.ncbi.nlm.nih.gov/pmc/articles/PMC164219/

Kumar and Clark’s

https://www.cdc.gov/mmwr/volumes/68/wr/mm6811a3.htm

https://www.nice.org.uk/guidance/ng33/chapter/Recommendations#latent-tb

https://bnf.nice.org.uk/drug/ethambutol-hydrochloride.html#sideEffects